67 yr old man with left sided hemiplegia and slurred speech

 This is an online E log book to discuss our patient's de-identified health data shared after taking his/ her /guardian's signed informed consent. 


Here we discuss our individual patient's problems through series of inputs from available global online community of experts with an aim to solve those patient's clinical problems with collective current best evidence based inputs. 


This E log book also reflects my patient-centered online learning portfolio and your valuable inputs on the comment box is welcome.




Here is a case I've seen:


A 67 year old man was brought to the hospital by his son with chief complaints of sudden onset weakness of  left upper & lower limbs since last night associated with slurring of speech and deviation of mouth towards right.



History of present illness:


The patient was apparently asymptomatic 1day back,then developed  sudden onset giddiness a/w fall and weaknes of left upper and lower limbs and deviation of mouth to right ,followed by slurring of speech since last night ,non progressive.pt. was taken to rmp,his BP was 150/100mmhg,he was then administered T.Amlong 30mg,pt.  presented to our hospital after 12 hrs of onset of symptoms.

H/o difficulty in holding objects, difficulty in standing and walking

No H/o headinjury,LOC,nausea,

Vomitings,blurring of vision, involuntary micturition/defecation.

no h/o headache,

no difficulty in swallowing,

no h/o involuntary movements,fasiculations

No h/o loss of pain, temperature

No H/o palpitations,sweating,chest pain, breathlessness.


PAST HISTORY:

 K/c/o HTN since 6 years and is on 
T.Amlong OD, k/c/o COPD since 15 yrs,on budesonide& salbutamol nebulisation.
No h/o diabetes mellitus, epilepsy , chronic heart and kidney diseases, tuberculosis, thyroid disorders.
No similar complaints in the past.
H/o fall from a tree 3yrs back with no significant injuries.
No H/o  previous surgeries and blood transfusion.
 
PERSONAL HISTORY: 
Diet: mixed
Appetite: normal
Sleep: adequate
Bowel and bladder movements: regular.
No addictions,occasional toddy drinker.

Lives with wife and 2 sons.

FAMILY HISTORY: 
No significant family history.

DRUG HISTORY: 
 allergic to T.Combiflam(exacerbates COPD)

GENERAL EXAMINATION: 

Patient is drowsy

Moderately built and moderately nourished.

No signs of pallor, icterus, cyanosis , clubbing, koilonychia, generalised lymphadenopathy, bilateral pedal edema.
 
VITALS:
Temperature: afebrile
Pulse rate:  68 bpm,irregularly irregular
BP: 140/90 mm of hg
RR: 15 cycles per min.
Sp02 : 98% at room temperature
GRBS: 100 mg/dl

SYSTEMIC EXAMINATION:

CNS

Higher mental functions:
 pt.is drowsy,oriented to time, place,person.  slurred speech.
Remote & recent memory - intact
Pupils - NSRL


Spinomotor : 
  no wasting/ thinning of muscles. No  pain, fatigue and fasciculations.

                                  Right                Left

Bulk :                
      Upper limb         Normal            Normal   .             Lower limb .        Normal.           Normal

Tone: 
      Upper limb:.     Normal.         Decreased  .
      Lower limb:.     Normal.          Decreased   .

Power:
      Upper limb:.     5/5.               0/5
      Lower limb:.     5/5.                0/5  
Hand grip :             100% .               0%
 following commands
 
Motor system 
Reflexes:  
   Superficial reflexes: normal
   Deep tendon reflexes: 
      Biceps:.             2+.                      2+
      Triceps:.           2+                        2+
      Supinator:.        2+                     2+
      Knee:.                 2+                      2+
      Ankle:.                -.                        -
      Plantar:.         Flexor                   extensor

Sensory system:        right         Left
                 
                Fine touch    +         +
               Vibration      +             +
            Position sense +         +
           Crude touch      +         +
       pain and temperature +      +

Rhomberg's - absent

Cerebellum: 
Nystagmus -ve
Pendular knee jerk -ve
Rebound phenomenon -ve
Dysdiadochokinesia -ve
Finger nose incoordination-ve
Finger finger incoordination-ve

Gait - couldn't be elicited

Cranial nerve examination:
  I : intact
II : visual acuity 6/6
      Colour vision normal
III,IV,VI : normal pupil size
                No nystagmus,ptosis,eyemovements                     normal
V: Sensory - normal
    Motor - normal
Corneal & conjunctival reflexes - normal

Vll: Deviation of angle of mouth towards right, Able to close eyes.
frowning present on both sides of forehead 


VIII : normal.
IX,X: Uvula- not visualised,gag reflex + 
XI: normal
XII: tongue- tone normal,no deviation

ANS:regular bladder movements. No sweating and palpitations.

 Meninges: no signs of meningeal irritation(fever, headache, neck stiffness, nausea and vomitings)

PERABDOMINAL EXAMINATION:
 
Shape of abdomen: scaphoid
No tenderness and local rise of temperature.
No palpable masses.
Hernial orifices normal.
No free fluid and bruit.
Liver and spleen : not palpable.
Bowel sounds: normally heard.
 
RESPIRATORY SYSTEM:
Position of trachea: central
No wheeze and dyspnea.
Bilateral air entry present.
Normal vesicular breath sounds heard.
No adventitious sounds.

CVS:
S1 and S2 heard.
No murmurs.

Based on the clinical findings,the following investigations were sent:
CBP
CUE
RFT
RBS
FLP
ECG
2D ECHO
Troponin I - negative
FUNDOSCOPY- B/L IMSC
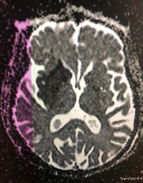
MRI BRAIN plain
USG abdomen 
CAROTID DOPPLER

Day 1 











Day 2







DIAGNOSIS:

Ischemic CVA with left sided Hemiplegia with UMN facial palsy 2° to infarct  In ? MCA territory

K/C/O  HTN & COPD

Treatment:

1. Ryle's tube feed - 200ml milk 2nd hourly with                                             proteinex powder                              
                             100 ml water hourly
                                     |
                           Day3 - soft diet --- regular diet

                               
2. INJ MANNITOL 20mg/IV/TID
3. INJ PANTOP 40mg IV OD
4. T. ECOSPIRIN 300mg OD/RT/STAT
                                   |
                               150 mg OD
5. T. CLOPIDOGREL 150mg OD/RT/STAT
                                        |
                                     75 mg OD/RT
6. T.ATORVAS 20mg H/S/RT
7. Physiotherapy for left UL & LL
8. Frequent mobilization
9. Vitals monitoring hrly,I/O charting

Comments

Popular posts from this blog

75 year old woman with Renal pathology since 5 yrs, gluteal abscess -6 yrs ago with recent GE & Oliguria

GM